Mainan Fidget Spinner Tertelan, Bocah Australia Dilarikan ke Rumah Sakit
Bocah dari Sydney, Australia, yang berusia tujuh tahun itu tak sengaja menelan sebuah koin pipih yang biasa dipasang pada sebuah fidget spinner.
TRIBUNNEWS.COM, SYDNEY - Seorang bocah di Australia dilarikan ke rumah sakit usai menelan bagian dari mainan kekinian fidget spinner.
Bocah dari Sydney, Australia, yang berusia tujuh tahun itu tak sengaja menelan sebuah koin pipih yang biasa dipasang pada sebuah fidget spinner.
Koin pipih tersebut biasanya berbahan plastik atau logam, yang diputar menggunakan mainan pemutar fidget spinner itu.
Ibunya, Jade Girvan, langsung menyesali keputusannya telah membelikan mainan yang selama ini diminta putra kecilnya tersebut.
"Saya dan suami baru saja duduk untuk makan malam saat tiba-tiba saya mendengar putra saya seperti kesulitan bernapas," cerita Jade.
"Ia memegang sebuah fidget spinner, sambil mengatakan bahwa ia menelannya. Memang ada slot koin yang kosong pada mainan itu," jelasnya.
Jade Girvan mengaku sempat merasa sangat khawatir sebab koin berbahan logam itu dikemas dalam plastik.
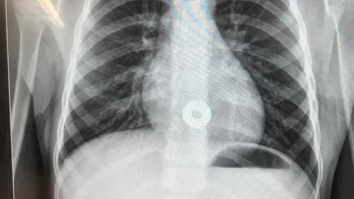
Karena merasa ketakutan dan kesakitan, bocah tersebut kemudian dibawa ke RS Royal North Shore, di mana ia dipindai menggunakan sinar X.
Koin pipih itu didapati berada dalam perutnya.
Dokter menyarankan agar koin tersebut dikeluarkan secara alami saja, namun jika dalam dua hari koin itu tidak keluar, bocah itu disarankan untuk kembali ke rumah sakit.
Jade Girvan menyesal telah membelikan putranya fidget spinner, karena dianggap berbahaya untuk anak-anak.
Fidget spinner sebenarnya merupakan mainan yang disarankan untuk digunakan oleh anak-anak dengan ADHD atau autisme.
Namun, penggunaannya akhir-akhir ini populer di kalangan anak-anak dan dewasa, meski mulai mendapat pandangan kontra dari banyak orangtua akibat risiko bahaya yang ditimbulkannya. (Daily Telegraph/News.com.au).
:quality(30):format(webp):focal(0.5x0.5:0.5x0.5)/tribunnews/foto/bank/originals/seorang-bocah-di-australia_20170620_191619.jpg)