Jumat, 8 Mei 2026

Pulpen Tersimpan 25 Tahun di Dalam Perut Wanita Inggris

Seorang perempuan Inggris berusia 76 tahun baru-baru saja dioperasi untuk mengeluarkan pulpen

Tayang:
Penulis: Widiyabuana Slay

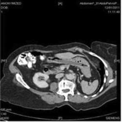
TRIBUNNEWS.COM - Seorang perempuan Inggris berusia 76 tahun baru-baru saja dioperasi untuk mengeluarkan pulpen yang tersimpan selama 25 tahun di dalam perutnya. Yang lebih mengejutkan, pulpen itu masih bisa berfungsi.

Dilansir Yahoo News, Rabu (21/12/2011), The British Medical Journal Case Reports menurunkan laporan tentang masalah kesehatan perempuan yang identitasnya dirahasiakan itu yang kasusnya dikirimkan ke ahli GI setelah mengalami sejumlah gejala termasuk kehilangan berat badan.

Saat dokter memeriksa perut wanita tersebut dan menemukan sesuatu di dalam perutnya. Setelah penemuan itu si perempuan baru ingat jika ia pernah menelan pulpen warna hitam sekitar seperempat abad silam.

Ketika pulpen itu dicoba ternyata masih mengandung tinta dan masih bisa digunakan untuk menulis. "Saat ia memeriksa ada apa dengan tonsilnya, pulpen yang dipakai untuk memeriksa masuk dan tertelan dengan secara tak sengaja. Dokter dan suaminya tidak percaya dengan cerita itu dan menganggap sakit perut yang dialaminya hanya normal saja. Dari hasil foto rontgen, tampak pulpen berada di bagian bawah perut tanpa ada luka apapun," demikian ujar Dr. Oliver Richard Waters.

Rekomendasi untuk Anda

Berita Terkini

© 2026 TribunNews.com, a subsidiary of KG Media. All Right Reserved